
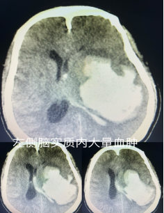
2024年4月一个普通的早晨,一阵急促的救护车在路上疾驰,伴随响亮的呼啸声传来,潢川县妇幼保健院 潢川二院急诊科严阵以待,前期已接到院前救治医生传来消息:“中年男性,发现昏迷2小时余,考虑脑卒中”。到院后立即开通绿色通道,急诊CT提示:左侧大脑半球大量出血,并破入脑室。神经外科主任熊海舰主治医师接到急会诊电话后,立即放下手上工作,快速前往急诊科给予会诊,见患者深昏迷,双侧瞳孔等大等圆,对光反射灵敏,无大小便失禁,但是GCS评分只有6分。考虑到患者虽然昏迷时间长,出血量大,但是患者并无脑疝现象,而且年轻无基础病,经积极救治后仍应有良好预后,充分评估病情后向家属告知病情,家属救治意愿积极,表示全力救治。

由于我院开通绿色通道,大大节省了术前准备时间,神经外科主任熊海舰提前联系手术麻醉科,沟通患者病情,做到患者入院后的无缝衔接,从入院到进入手术室仅仅用时30分钟,患者经过去颅骨骨瓣减压术+颅内血肿清除术等手术治疗后,颅内压明显降低,脑实质压迫解除,复查头颅CT血肿清除满意,无继发性出血,战斗取得了前期的胜利,术后3天患者苏醒,第4天拔除气管插管,第7天返回病房继续治疗,后期患者经积极治疗,历经出血、感染、下肢血栓、营养不良、康复训练等等考验,并择期行颅骨修补后,病情得到了进一步的恢复,已恢复自理能力,仅有少量言语障碍。潢川县妇幼保健院 潢川二院神经外科用其快速的反应、精湛的技术、完美的配合打了一个个漂亮的战斗,挽救了一个个家庭。


【科室简介】
潢川县第二人民医院神经外科是依托郑州大学第五附属医院雄厚优势的神经外科(河南省医学重点学科)与潢川二院共建的重点科室。2003年在院内成立神经外科学组,2021年成立神经外科病区,核定床位40张,是潢川县成立最早、唯一的神经外科专科诊疗病区。拥有一支人员结构合理、经验丰富的专业技术人员团队,率先在潢川县开展颅脑创伤、高血压性脑出血、脑积水、颅骨缺损、脑肿瘤、脑血管病、癫痫等常见颅脑疾病的诊疗工作。引进的郑州大学第五附属医院神经外科专家团队常驻潢川开展各种神经外科诊疗工作,竭力为潢川近90万父老乡亲,足不出户,提供省级三甲医院的医疗服务,解决以往远赴外地就医困难的局面。
【团队构成】
神经外科主任医师、副主任医师共2名,郑州大学硕士研究生导师3名,主治医师2名、住院医师3名。
【收治疾病 特色技术】
拥有1.5 MRI、64排CT、神经内镜、多功能神经外科头架等先进诊疗设备。科室在临床上聚焦于颅脑创伤、脑出血等疾病的急救手术、各类神经危重症救治、昏迷促醒、神经功能康复、创伤及出血后并发症处理(颅骨修补、脑积水分流、癫痫发作治疗等),在治疗GCS计分8分以下的重型、特重型颅脑损伤,在开颅手术、术后肺感染、消化道出血、癫痫发作、脑积水等并发症的防治上形成了一套切实有效的抢救治疗措施,积累了丰富经验。高血压性脑出血根据病情进行神经内镜下血肿清除、开颅血肿清除、锥孔血肿冲洗引流等脑血管病的个体化治疗上有独到之处。逐步开展微创治疗三叉神经痛、面肌痉挛,颈内动脉内膜剥脱、烟雾病,颅内各部位脑膜瘤、胶质瘤、垂体瘤、颅咽管瘤、小脑肿瘤、脊髓肿瘤等手术。

